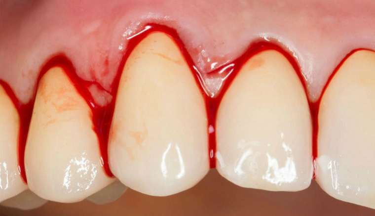
Seeing blood when you brush or floss? Bleeding or swollen gums are often an early sign of gingivitis (gum disease), usually caused by plaque buildup. Ignoring it can lead to bigger problems.
Quick Facts
Common Causes
Gum disease (gingivitis)
Not brushing/flossing effectively
Starting a new flossing routine (temporary)
Poorly fitting dentures/retainers
Certain medications
Hormonal changes (like pregnancy)
How to Stop Bleeding Gums
Brush gently twice a day.
Floss daily.
Maintain a healthy diet and avoid smoking.
Most importantly: Visit Dental Hub for regular checkups and cleanings.
Early treatment is simple! Let us examine your gums and get your oral health back on track.